
Bunions are painful, bony protrusions at the base of the big toe. Several effective treatment options for bunions are available to relieve discomfort and correct the problem. For bunions that are small or have mild symptoms, the focus is on relieving symptoms. Nonsurgical measures include wearing wide-toed shoes and having shoes professionally stretched to provide more room. Using padded shoe inserts or other orthotic devices that help distribute pressure evenly while you walk can provide significant relief. Avoiding activities that cause pain, such as sports, can prevent further aggravation of the bunion. Additionally, applying warm soaks or ice packs can help manage pain and reduce inflammation. In some cases, medications like nonsteroidal anti-inflammatory drugs, NSAIDs, can provide pain relief. Physical therapy with stretching and strengthening exercises can also improve foot mechanics. When conservative measures fail to alleviate symptoms, bunion surgery may be necessary to realign the toe joint. Minimally invasive procedures, like bunionectomy or joint fusion, can offer quicker recovery with less scarring. For help with bunion pain, it is suggested that you make an appointment with a podiatrist, who can assess the severity of the bunion and suggest suitable treatment.
If you are suffering from bunions, contact Judson Siegel, DPM of Assabet Family Podiatry. Our doctor can provide the care you need to keep you pain-free and on your feet.
What Is a Bunion?
A bunion is formed of swollen tissue or an enlargement of boney growth, usually located at the base joint of the toe that connects to the foot. The swelling occurs due to the bones in the big toe shifting inward, which impacts the other toes of the foot. This causes the area around the base of the big toe to become inflamed and painful.
Why Do Bunions Form?
Genetics – Susceptibility to bunions are often hereditary
Stress on the feet – Poorly fitted and uncomfortable footwear that places stress on feet, such as heels, can worsen existing bunions
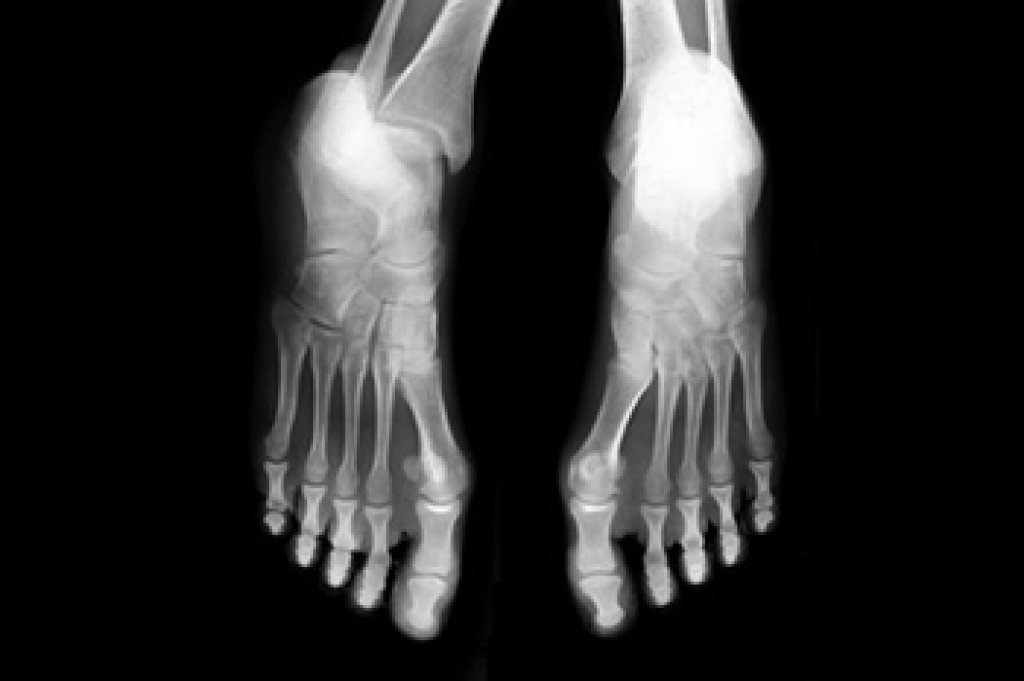
How Are Bunions Diagnosed?
Doctors often perform two tests – blood tests and x-rays – when trying to diagnose bunions, especially in the early stages of development. Blood tests help determine if the foot pain is being caused by something else, such as arthritis, while x-rays provide a clear picture of your bone structure to your doctor.
How Are Bunions Treated?
- Refrain from wearing heels or similar shoes that cause discomfort
- Select wider shoes that can provide more comfort and reduce pain
- Anti-inflammatory and pain management drugs
- Orthotics or foot inserts
- Surgery
If you have any questions, please feel free to contact our offices located in Plainville, Marlborough, and Somerset, MA . We offer the newest diagnostic and treatment technologies for all your foot care needs.



